Automated Nucleic Acid Extraction
TGuide S16 Nucleic Acid Extractor can process up to 16 samples simultaneously by the magnetic rods to bind and transfer the magnetic beads, the 96-well plate or single-sample reagent cartridge and magnetic tip comb. By using the corresponding nucleic acid extraction reagents, this product can automatically purify DNA/RNA from various samples of animal, plant, bacteria, fungi, etc., and extract DNA from plasmid, agarose gel and PCR product.
Key Features
• Time saving and highly efficient: It can greatly reduce the hands-on operation of nucleic acid experiments, and significantly improve the laboratory work efficiency.
• Tailored for research use: Although compact in size, it provides automated solutions for most sample types of scientists' interests.
• Out-of-the-box automation: It is super easy to use, with prefilled supporting reagent cartridges and preinstalled programs. Overall, the instrument requires little effort on installation, training and maintenance.
• Competent and reliable: The upgraded techniques assure you the reproducible extraction of ultrapure DNA/RNA.
| Product Name | Cat. # | Price | View |
| TGuide S16 Automated Nucleic Acid Extractor | OSE-S16 | $13,500 |
Applications
TGuide S16 Nucleic Acid Extractor is an affordable choice for academic or small labs to automate nucleic acid extraction from agarose gel, PCR product, plant and animal tissue, etc.
Case Study

Gel recovery experiment (2 Kb) (Left) The recovery rate is consistent and slightly higher than that of the manual column extraction kit.
Plant (wheat root) DNA extraction (Right) The yield is consistent, and the DNA integrity is better than of the manual column extraction kit.

Animal tissue RNA extraction
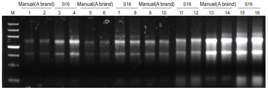
Loading volume: 1 μl. The liver was diluted 5 times and loaded. Agarose gel concentration: 1%. Electrophoresis for 20 min at 6 V/cm;
M: Marker III 1-4: heart 5-8: liver 9-12: lung 13-16: kidney;
The first two samples of each tissue were extracted by the spin-column based extraction kit, and the last two were extracted automatically by TGuide S16.
Sample source: CD-1 mice

Blood Total RNA Extraction
S16 Nucleic Acid Extractor was used to extract RNA from fresh whole blood of mice, and Agilent 2100 was used for intergrity detection, with RIN=10.
